Home Page > ANTIBODY > POLYCLONAL ANTIBODY > Goat Polyclonal Antibodies >  Goat anti-Acrosin light chain Antibody

Goat anti-Acrosin light chain Antibody


Item#:
dAP-3192
Size Price Quantity
50.0 ug $310.00
Goat anti-Acrosin light chain Antibody
Principle Name Acrosin light chain
Official Symbol ACR
All Name and Symbols ACR; acrosin; acrosin light and heavy chain prepropeptide; preproacrosin; proacrosin
Accession Number(s) NP_001088.2
Peptide Sequence KDNATCDGPCGLR, is from internal region
Human Gene ID(s) 49
Non-Human GeneID(s)
Important Comments
Purification Purified from goat serum by ammonium sulphate precipitation followed by antigen affinity chromatography using the immunizing peptide.
Supplied As lyophilized powder of 50ug or 100ug IgG; Reconsititute IgG with 100ul or 200ul sterile DI Water and final product will be formulated as 0.5 mg/ml in Tris saline, 0.02% sodium azide, pH7.3 with 0.5% bovine serum albumin. Aliquot and store at -20°C. Minimize freezing and thawing.
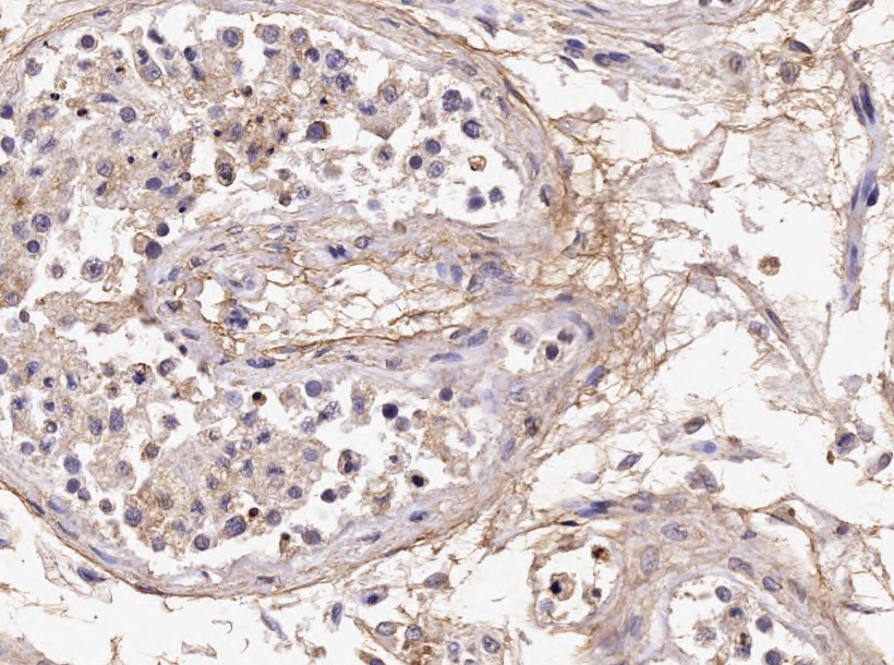
Applications Pep ELISA, IHC
Tested Species Human
Peptide ELISA antibody detection limit dilution 1 to 2000.
Western Blot Preliminary experiments in Human Testis lysates gave no specific signal but low background (at antibody concentration up to 2µg/ml).
Immunohistochemistry Paraffin embedded Human Testis. Recommended concentration
Reference(s) García L, Veiga MF, Lustig L, Vazquez-Levin MH, Veaute C. DNA immunization against proacrosin impairs fertility in male mice. American journal of reproductive immunology (New York, N.Y.

ANGIO-PROTEOMIE, ALL RIGHTS RESERVED