Home Page > ANTIBODY > POLYCLONAL ANTIBODY > Goat Polyclonal Antibodies >  Goat anti-AHR Antibody

Goat anti-AHR Antibody


Item#:
dAP-3008
Size Price Quantity
50.0 ug $310.00
Goat anti-AHR Antibody
Principle Name AHR
Official Symbol AHR
All Name and Symbols AHR; aryl hydrocarbon receptor; AH-receptor; aromatic hydrocarbon receptor
Accession Number(s) NP_001612.1
Peptide Sequence PENQKHGLNPQSA, is from internal region
Human Gene ID(s) 196
Non-Human GeneID(s)
Important Comments
Purification Purified from goat serum by ammonium sulphate precipitation followed by antigen affinity chromatography using the immunizing peptide.
Supplied As lyophilized powder of 50ug or 100ug IgG; Reconsititute IgG with 100ul or 200ul sterile DI Water and final product will be formulated as 0.5 mg/ml in Tris saline, 0.02% sodium azide, pH7.3 with 0.5% bovine serum albumin. Aliquot and store at -20°C. Minimize freezing and thawing.
Applications Pep ELISA, IHC
Tested Species Human
Peptide ELISA antibody detection limit dilution 1 to 1000.
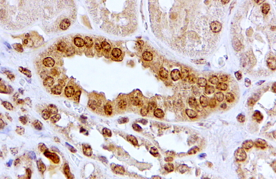
Immunohistochemistry In paraffin embedded Human Kidney shows both cytoplasm and nuclear staining in DCT. Recommended concentration, 2-4µg/ml.
Reference(s) Hollingshead BD, Beischlag TV, Dinatale BC, Ramadoss P, Perdew GH Inflammatory signaling and aryl hydrocarbon receptor mediate synergistic induction of interleukin 6 in MCF-7 cells Cancer Res. 2008 May 15;68(10)

ANGIO-PROTEOMIE, ALL RIGHTS RESERVED