Home Page > ANTIBODY > POLYCLONAL ANTIBODY > Goat Polyclonal Antibodies >  Goat anti-SRD5A1 Antibody

Goat anti-SRD5A1 Antibody


Item#:
dAP-2575
Size Price Quantity
50.0 ug $310.00
Goat anti-SRD5A1 Antibody
Principle Name SRD5A1
Official Symbol SRD5A1
All Name and Symbols SRD5A1; steroid-5-alpha-reductase, alpha polypeptide 1 (3-oxo-5 alpha-steroid delta 4-dehydrogenase alpha 1); 3-oxo-5 alpha-steroid delta 4-dehydrogenase alpha 1; 5-alpha reductase; OTTHUMP00000115519; steroid 5-alpha-reductase type I; steroid-5-alpha-red
Accession Number(s) NP_001038.1
Peptide Sequence RNLRKPGDTGYK, is from internal region
Human Gene ID(s) 6715
Non-Human GeneID(s) 78925 (mouse);
Important Comments
Purification Purified from goat serum by ammonium sulphate precipitation followed by antigen affinity chromatography using the immunizing peptide.
Supplied As lyophilized powder of 50ug or 100ug IgG; Reconsititute IgG with 100ul or 200ul sterile DI Water and final product will be formulated as 0.5 mg/ml in Tris saline, 0.02% sodium azide, pH7.3 with 0.5% bovine serum albumin. Aliquot and store at -20°C. Minimize freezing and thawing.
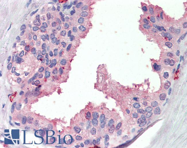
Applications Pep ELISA, IHC
Tested Species Human
Peptide ELISA antibody detection limit dilution 1 to 1000.
Immunohistochemistry Paraffin embedded Human Prostate, Liver and Small Intestine. Recommended concentration
Reference(s) Torkko KC, van Bokhoven A, Mai P, Beuten J, Balic I, Byers TE, Hokanson JE, Norris JM, Barón AE, Lucia MS, Thompson IM, Leach RJ, VDR and SRD5A2 polymorphisms combine to increase risk for prostate cancer in both non-Hispanic White and Hispanic White men. Clin. Cancer Res. 2008 May 14 (10)

ANGIO-PROTEOMIE, ALL RIGHTS RESERVED