Home Page > ANTIBODY > POLYCLONAL ANTIBODY > Goat Polyclonal Antibodies >  Goat anti-DUSP16 Antibody

Goat anti-DUSP16 Antibody


Item#:
dAP-0420
Size Price Quantity
50.0 ug $310.00
Goat anti-DUSP16 Antibody
Principle Name DUSP16
Official Symbol DUSP16
All Name and Symbols DUSP16; dual specificity phosphatase 16; MKP7; MKP-7; KIAA1700; MAPK phosphatase-7; MGC129701; MGC129702
Accession Number(s) NP_085143.1
Peptide Sequence AHEMIGTQIVTER, is from N Terminus
Human Gene ID(s) 80824
Non-Human GeneID(s) 70686 (mouse);
Important Comments
Purification Purified from goat serum by ammonium sulphate precipitation followed by antigen affinity chromatography using the immunizing peptide.
Supplied As lyophilized powder of 50ug or 100ug IgG; Reconsititute IgG with 100ul or 200ul sterile DI Water and final product will be formulated as 0.5 mg/ml in Tris saline, 0.02% sodium azide, pH7.3 with 0.5% bovine serum albumin. Aliquot and store at -20°C. Minimize freezing and thawing.
Applications Pep ELISA, IHC
Tested Species Human
Peptide ELISA antibody detection limit dilution 1 to 32000.
Western Blot Preliminary experiments gave no signal but low background in Human Brain and Jurkat lysates at up to 1µg/ml. We would appreciate any feedback from people in the field - have any results been reported with other antibodies/lysates?
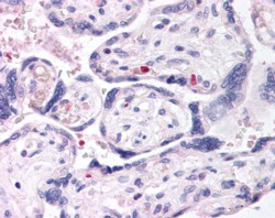
Immunohistochemistry In paraffin embedded Human Placenta shows individual cells in branch villi very close to the surrounding lacuna. Recommended concentration, 2-4µg/ml.
Reference(s) Tanoue T, Yamamoto T, Maeda R, Nishida E. A Novel MAPK phosphatase MKP-7 acts preferentially on JNK/SAPK and p38 alpha and beta MAPKs. J Biol Chem 2001 Jul 13;276(28)

ANGIO-PROTEOMIE, ALL RIGHTS RESERVED