Home Page > ANTIBODY > POLYCLONAL ANTIBODY > Goat Polyclonal Antibodies >  Goat anti-EPS8 Antibody

Goat anti-EPS8 Antibody


Item#:
dAP-0417
Size Price Quantity
50.0 ug $310.00
Goat anti-EPS8 Antibody
Principle Name EPS8
Official Symbol EPS8
All Name and Symbols EPS8; epidermal growth factor receptor pathway substrate 8
Accession Number(s) NP_004438.3
Peptide Sequence SGVESFDEGSSH, is from C Terminus
Human Gene ID(s) 2059
Non-Human GeneID(s) 13860 (mouse);
Important Comments
Purification Purified from goat serum by ammonium sulphate precipitation followed by antigen affinity chromatography using the immunizing peptide.
Supplied As lyophilized powder of 50ug or 100ug IgG; Reconsititute IgG with 100ul or 200ul sterile DI Water and final product will be formulated as 0.5 mg/ml in Tris saline, 0.02% sodium azide, pH7.3 with 0.5% bovine serum albumin. Aliquot and store at -20°C. Minimize freezing and thawing.
Applications Pep ELISA, IHC
Tested Species
Peptide ELISA antibody detection limit dilution 1 to 8000.
Western Blot Preliminary experiments gave no signal but low background in A431 and Hela lysates at up to 1µg/ml. We would appreciate any feedback from people in the field - have any results been reported with other antibodies/lysates?
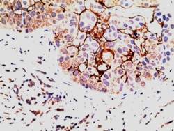
Immunohistochemistry In paraffin embedded Human Breast Carcinoma shows staining of cancer cells infiltrated in a breast lobe. Recommended concentration, 5-10µg/ml.
Reference(s) Fazioli F, Minichiello L, Matoska V, Castagnino P, Miki T, Wong WT, Di Fiore PP. Eps8, a substrate for the epidermal growth factor receptor kinase, enhances EGF-dependent mitogenic signals. EMBO J. 1993 Oct;12(10)

ANGIO-PROTEOMIE, ALL RIGHTS RESERVED