Home Page > ANTIBODY > POLYCLONAL ANTIBODY > Goat Polyclonal Antibodies >  Goat anti-MDA5 / IFIH1 Antibody

Goat anti-MDA5 / IFIH1 Antibody


Item#:
dAP-0201
Size Price Quantity
50.0 ug $310.00
Goat anti-MDA5 / IFIH1 Antibody
Principle Name MDA5 / IFIH1
Official Symbol IFIH1
All Name and Symbols IFIH1; MDA5; MDA-5; Hlcd; MGC133047; IDDM19; melanoma differentiation associated protein-5; DEAD/H (Asp-Glu-Ala-Asp/His) box polypeptide; interferon induced with helicase C domain 1; helicard
Accession Number(s) NP_071451.2
Peptide Sequence SNGYSTDENFRYL, is from N Terminus
Human Gene ID(s) 64135
Non-Human GeneID(s)
Important Comments
Purification Purified from goat serum by ammonium sulphate precipitation followed by antigen affinity chromatography using the immunizing peptide.
Supplied As lyophilized powder of 50ug or 100ug IgG; Reconsititute IgG with 100ul or 200ul sterile DI Water and final product will be formulated as 0.5 mg/ml in Tris saline, 0.02% sodium azide, pH7.3 with 0.5% bovine serum albumin. Aliquot and store at -20°C. Minimize freezing and thawing.
Applications Pep ELISA, IHC, WB
Tested Species Human
Peptide ELISA antibody detection limit dilution 1 to 32000.
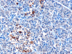
Immunohistochemistry In paraffin embedded Human Pancreas, shows strong cytoplasmic staining of some cells in the islets of Langerhans. Recommended concentration
Reference(s) Kang DC, Gopalkrishnan RV, Wu Q, Jankowsky E, Pyle AM, Fisher PB. mda-5

ANGIO-PROTEOMIE, ALL RIGHTS RESERVED