Home Page > ANTIBODY > POLYCLONAL ANTIBODY > Goat Polyclonal Antibodies >  Goat anti-TRIM11 Antibody

Goat anti-TRIM11 Antibody


Item#:
dAP-0156
Size Price Quantity
50.0 ug $310.00
Goat anti-TRIM11 Antibody
Principle Name TRIM11
Official Symbol TRIM11
All Name and Symbols TRIM11; BIA1; RNF92; tripartite motif-containing 11
Accession Number(s) NP_660215.1
Peptide Sequence CRPKGGSGDTLAPQ, is from C Terminus
Human Gene ID(s) 81559
Non-Human GeneID(s)
Important Comments
Purification Purified from goat serum by ammonium sulphate precipitation followed by antigen affinity chromatography using the immunizing peptide.
Supplied As lyophilized powder of 50ug or 100ug IgG; Reconsititute IgG with 100ul or 200ul sterile DI Water and final product will be formulated as 0.5 mg/ml in Tris saline, 0.02% sodium azide, pH7.3 with 0.5% bovine serum albumin. Aliquot and store at -20°C. Minimize freezing and thawing.
Applications Pep ELISA, IHC
Tested Species Human
Peptide ELISA antibody detection limit dilution 1 to 32000.
Western Blot Preliminary experiments in Human Heart, Kidney, Liver and Lung lysates gave no specific signal but low background (at antibody concentration up to 1µg/ml). We would appreciate any feedback from people in the field - have any results been re
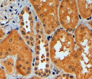
Immunohistochemistry In paraffin embedded Human Kidney shows cytoplasm staining preferentially in PCT over DCT. Recommended concentration, 4-6µg/ml.
Reference(s) Reymond A, Meroni G, Fantozzi A, Merla G, Cairo S, Luzi L, Riganelli D, Zanaria E, Messali S, Cainarca S, Guffanti A, Minucci S, Pelicci PG, Ballabio A. The tripartite motif family identifies cell compartments. EMBO J. 2001 May 1;20(9)

ANGIO-PROTEOMIE, ALL RIGHTS RESERVED