Home Page > ANTIBODY > POLYCLONAL ANTIBODY > Goat Polyclonal Antibodies >  Goat anti-PPP1R15A / GADD34 Antibody

Goat anti-PPP1R15A / GADD34 Antibody


Item#:
dAP-0019
Size Price Quantity
50.0 ug $310.00
Goat anti-PPP1R15A / GADD34 Antibody
Principle Name PPP1R15A / GADD34
Official Symbol PPP1R15A
All Name and Symbols PPP1R15A; GADD34; protein phosphatase 1, regulatory (inhibitor) subunit 15A; growth arrest and DNA-damage-inducible 34; protein phosphatase 1, regulatory subunit 15A
Accession Number(s) NP_055145.3
Peptide Sequence AAALDLSGRRG, is from C Terminus
Human Gene ID(s) 23645
Non-Human GeneID(s)
Important Comments
Purification Purified from goat serum by ammonium sulphate precipitation followed by antigen affinity chromatography using the immunizing peptide.
Supplied As lyophilized powder of 50ug or 100ug IgG; Reconsititute IgG with 100ul or 200ul sterile DI Water and final product will be formulated as 0.5 mg/ml in Tris saline, 0.02% sodium azide, pH7.3 with 0.5% bovine serum albumin. Aliquot and store at -20°C. Minimize freezing and thawing.
Applications Pep ELISA, WB, IHC, IF, FC
Tested Species Human
Peptide ELISA antibody detection limit dilution 1 to 128000.
Western Blot Approx 75kDa band observed in lysates of cell line HepG2 (calculated MW of 73.4kDa according to NP_055145.2). Recommended concentration
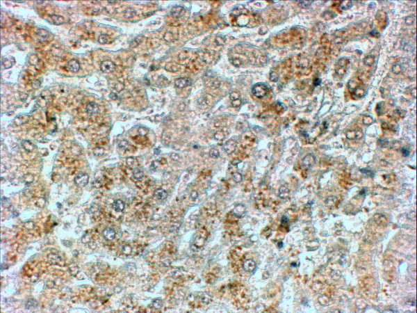
Immunohistochemistry In paraffin embedded Human Liver shows cytoplasmic staining consistent with ER in the hepatocytes. Recommended concentration
Reference(s) Kojima E, Takeuchi A, Haneda M, Yagi A, Hasegawa T, Yamaki K, Takeda K, Akira S, Shimokata K, Isobe K. The function of GADD34 is a recovery from a shutoff of protein synthesis induced by ER stress

ANGIO-PROTEOMIE, ALL RIGHTS RESERVED